Lompat ke konten Lompat ke sidebar Lompat ke footer

Get First Stage Small Brain Tumor Mri Images PNG

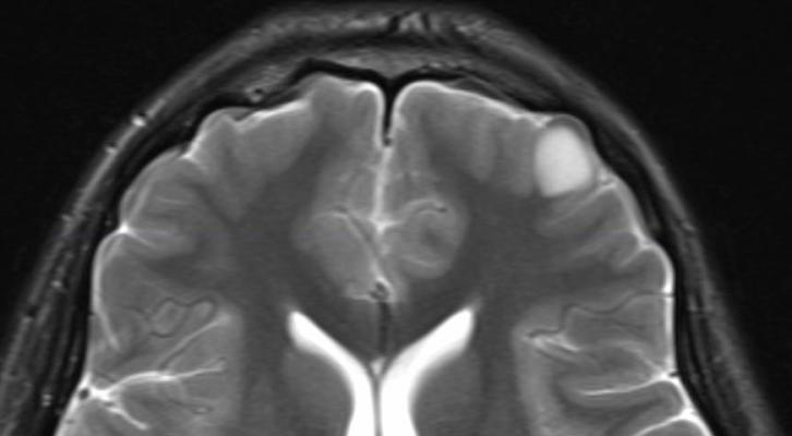
Get First Stage Small Brain Tumor Mri Images PNG. I am sharing a sample image of what an mri scan looks like with tumor and without one. Magnetic resonance imaging (mri) is a medical imaging technique, which is extensively used for the diagnosis and treatment of brain tumors in clinical practice.

Depriving Deadly Brain Tumors Of Cholesterol May Be Their ...
Depriving Deadly Brain Tumors Of Cholesterol May Be Their ... from i2.wp.com
Brain tumors can affect brain function if they grow large enough to press on surrounding nerves, blood vessels and tissue. There is homogeneous enhancement with a broad dural tail. We see that in the first image, to the left side of the brain, there is a tumor formation, whereas in the second image finally, we come to the stage where we will fit the image data to the trained neural network.

There is homogeneous enhancement with a broad dural tail.

Brain tumor symptoms include headaches, nausea or vomiting surgery is the usual first treatment for most brain tumors. Primary brain tumors include tumors that originate from the tissues of the brain or the brain's immediate surroundings. Mri (magnetic resonance imaging) with gadolinium: Show brain tumor at right parietal lobe of cerebrum.

Posting Komentar untuk "Get First Stage Small Brain Tumor Mri Images PNG"